Wednesday, 12 November, 2025г.
russian english deutsch french spanish portuguese czech greek georgian chinese japanese korean indonesian turkish thai uzbek

пример: покупка автомобиля в Запорожье

 

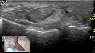
Ultrasound tutorial - Imaging of the Calcaneofibular Ligament

Ultrasound tutorial - Imaging of the Calcaneofibular LigamentУ вашего броузера проблема в совместимости с HTML5
This video demonstrates the technique used to image the calcaneofibular ligament of the ankle. Normal ultrasound images are shown concurrently. www.eastriverimaging.com
Мой аккаунт